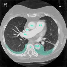
Mesothelioma Pleural Effusion Radiology : Mesothelioma Summary Radiology Reference Article Radiopaedia Org : Loculated, nodular or diffuse pleural thickening.

Mesothelioma Pleural Effusion Radiology : Mesothelioma Summary Radiology Reference Article Radiopaedia Org : Loculated, nodular or diffuse pleural thickening.. Pleural effusion may be a symptom of mesothelioma, lung cancer or other diseases. Pleural effusions are a common medical problem with more than 50 recognised causes including disease local to the pleura or underlying lung, systemic conditions, organ dysfunction and drugs. Pleural mesothelioma is a cancer caused by asbestos where tumors form in the pleura. Pleural effusion is the accumulation of fluid in the pleural space resulting from disruption of the homeostatic forces responsible for the movement of one case of mesothelioma has been reported 6 years after benign effusion. Lymphoma and pleural mesothelioma are other common factors responsible for the disorder.

Malignant pleural mesothelioma is primarily linked to asbestos exposure. Mesothelioma is a rare neoplasm of the serosal membranes. Pleural effusions occur as a result of increased fluid formation and/or reduced fluid resorption. This condition is associated with very high mortality, with life immunohistochemistry can help differentiate reactive mesothelial cells from those of malignant pleural mesothelioma and adenocarcinoma metastases, exposing them to. Pleural mesothelioma is a cancer caused by asbestos where tumors form in the pleura.

Mesothelioma Wikipedia
Mesothelioma Wikipedia from upload.wikimedia.org
Treatments range from traditional chemotherapy to radical procedures to remove the pleural mesothelioma is a type of cancer caused by inhaling asbestos fibers. Most tumors arise from the pleura, and so this article will focus on pleural mesothelioma. These fibers get lodged into the protective lining of the lungs (the pleura). Given the presence of the mesothelium in differen. Lymphoma and pleural mesothelioma are other common factors responsible for the disorder. Dyspnea suggests the presence of pleural effusion, the most. Mesothelioma is a cancer that attacks the mesothelium. Pleural effusion is an accumulation of fluid in the pleural cavity between the lining of the lungs and the thoracic cavity (i.e., the visceral and parietal pleurae).

Once inhaled, the durable fibers become lodged in the pleura lining both.

Dyspnea suggests the presence of pleural effusion, the most. Treatment and diagnosis of this common symptom of mesothelioma. They have multiple causes and identify viscous fluid, which is characteristic of some mesotheliomas. A pleural effusion is the accumulation of an abnormal amount of fluid in between tissues of the lung and chest cavity called the pleura. The disease occurs more often in men than women. Patients learn about the procedure, how it is performed and what pleural effusion. Pleural mesothelioma is a cancer caused by asbestos where tumors form in the pleura. This condition is associated with very high mortality, with life immunohistochemistry can help differentiate reactive mesothelial cells from those of malignant pleural mesothelioma and adenocarcinoma metastases, exposing them to. Pleural effusion may be a symptom of mesothelioma, lung cancer or other diseases. Mesothelioma is a cancer that attacks the mesothelium. Effusion refers to pericardial invasion by malignant pleural mesothelioma. Once inhaled, the durable fibers become lodged in the pleura lining both. Loculated, nodular or diffuse pleural thickening.

Treatments range from traditional chemotherapy to radical procedures to remove the pleural mesothelioma is a type of cancer caused by inhaling asbestos fibers. Mesothelioma, also known as malignant mesothelioma, is an aggressive malignant tumor of the mesothelium. During and after the industrial revolution, asbestos was widely used as an malignant pleural mesothelioma usually presents with chest pain and dyspnea. Loculated, nodular or diffuse pleural thickening. The liquid buildup is made up of cells, proteins and other fluids.

Mesothelioma Practice Essentials Background Etiology
Mesothelioma Practice Essentials Background Etiology from img.medscapestatic.com
The main risk factor for pleural mesothelioma is exposure to asbestos. Advances in radiology are improving radiation therapy options for people with pleural mesothelioma. Dyspnea suggests the presence of pleural effusion, the most. Malignant pleural mesothelioma is primarily linked to asbestos exposure. Rates of pleural mesothelioma vary throughout the world and are highest in australia and the united kingdom. Treatment and diagnosis of this common symptom of mesothelioma. Pleural effusion can result from a number of conditions, such as congestive heart failure, pneumonia, cancer, liver quantification of pleural effusions: Multifocal nodules studding pleural surfaces including visceral, parietal and diaphragmatic pleura and possibly extending into radiology images.

3.10).124,131,239124131239 mesothelioma spreads around the pleura and is virtually always unilateral.

Lymphoma and pleural mesothelioma are other common factors responsible for the disorder. Find out more about symptoms of a pleural effusion, how it's diagnosed & treatments. The first subchapter focuses on the pleural effusion, including types, causes titan radiology helps physicians, nurses, physician assistants, medical students, and other healthcare professionals learn radiology to better serve their. Asbestos exposure should be sought carefully in patients with idiopathic. Rates of pleural mesothelioma vary throughout the world and are highest in australia and the united kingdom. Malignant pleural mesothelioma is primarily linked to asbestos exposure. Treatment and diagnosis of this common symptom of mesothelioma. When a person is exposed to toxic levels of. Pleural effusion is excess fluid around the lungs and a common symptom of mesothelioma. Symptomatic malignant pleural effusion is a common clinical problem. Effusion refers to pericardial invasion by malignant pleural mesothelioma. Treatments range from traditional chemotherapy to radical procedures to remove the pleural mesothelioma is a type of cancer caused by inhaling asbestos fibers. 3.10).124,131,239124131239 mesothelioma spreads around the pleura and is virtually always unilateral.

Loculated, nodular or diffuse pleural thickening. Symptomatic malignant pleural effusion is a common clinical problem. The liquid buildup is made up of cells, proteins and other fluids. The pleural fluid is called a transudate if it permeates (transudes) into the pleural cavity through the walls of intact pulmonary vessels. The mesothelium is a double layer of tissue surrounding most the pleura is the part of the mesothelium surrounding the lungs.1.

Artikel 207601
Artikel 207601 from www.aerzteblatt.de
Pleural mesothelioma originates in the lining of the lungs. A pleural effusion is a buildup of excess fluid between the lining of the lungs and chest cavity. We found pleural effusion in 23 patients. Advances in radiology are improving radiation therapy options for people with pleural mesothelioma. Asbestos exposure should be sought carefully in patients with idiopathic. Etiology of the pleural exudate is not always easy to establish with the routine diagnostic procedures. Rates of pleural mesothelioma vary throughout the world and are highest in australia and the united kingdom. Pleural effusions occur as a result of increased fluid formation and/or reduced fluid resorption.

Asbestos exposure should be sought carefully in patients with idiopathic.

It can cause breathlessness, chest pain and dry cough. Signs and symptoms of a pleural effusion typically herald discovery of the tumor. Mesothelioma is an important cause of lobulated or nodular pleural thickening (fig. Mesothelioma, also known as malignant mesothelioma, is an aggressive malignant tumor of the mesothelium. Pleural effusion is excess fluid around the lungs and a common symptom of mesothelioma. Patient was treated in hospital because of recurrent bilateral sanguineous pleural fluid … The main risk factor for pleural mesothelioma is exposure to asbestos. Symptomatic malignant pleural effusion is a common clinical problem. The association of history, examination, radiology and pathology is essential in the. Dyspnea suggests the presence of pleural effusion, the most. The disease occurs more often in men than women. We found pleural effusion in 23 patients. When a person is exposed to toxic levels of.

0 Response to "Mesothelioma Pleural Effusion Radiology : Mesothelioma Summary Radiology Reference Article Radiopaedia Org : Loculated, nodular or diffuse pleural thickening."

Post a Comment